公司新闻/正文
1280 人阅读发布时间:2023-12-19 16:30
干细胞具有高度的自我更新和分化潜能,是多种生物医学和药学研究应用的理想之选,其在再生医学领域中的出色作用尤其值得瞩目。也正因为如此,人们迫切需要可以鉴定干细胞集落或克隆的自动化解决方案,而高效的自动化干细胞筛选和分离是基础。
干细胞集落的分离转移过程通常非常具有挑战性:
会造成大量细胞死亡,并影响周围的活细胞
使用胰蛋白酶或类似的酶降解方法会对细胞表型造成明显影响,并可能导致无意分化
造成不同集落的交叉污染,使克隆性丧失
使用移液器吸头或细胞刮棒无法做到标准化和统一化,且费力费时
CellCelector Flex全自动无损细胞分离系统使用一种具有高特异性的、温和的自动化机械转移方案,可最大限度地提高所挑选的干细胞克隆的存活率和克隆性,同时保持其多能性特征。

一机多能,广泛兼容

贴壁干细胞克隆分离,如诱导多能干细胞胚胎,干细胞集落的完整或部分分离

从半固体培养基(如甲基纤维素培养基)中分离3D细胞集落,如拟胚体、多球、类器官或造血干细胞集落
自动温和,高效高质
为了挑取贴壁克隆,CellCelector Flex结合了非常温和的横向加纵向刮擦的挑取模式,在刮擦的同时进行吸取,可以轻柔地将克隆从培养皿或饲养细胞层的底部剥离。
图1. CellCelector Flex进行温和的往复刮擦实现无损的贴壁细胞分离
在挑取过程中,CellCelector Flex提供全流程可视化的图像记录,帮助验证分离和转移的质量。并且能够在每次挑取结束后自动更换挑头,避免交叉污染,并保护干细胞的活性,可以最大限度保留了其多能性和分化潜能。
图2.通过碘化丙啶染色法对手动分离(左图)和CellCelector Flex自动分离(右图)的干细胞集落活性进行对比。其中死亡细胞呈红色,明显观察到通过CellCelector Flex分离的干细胞集落死亡细胞更少,更加保护细胞活性。
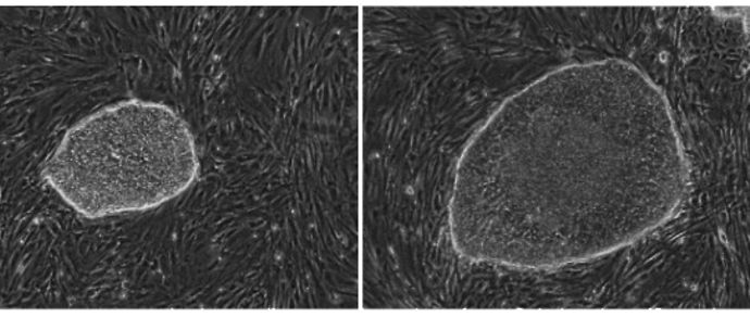
图3.CellCelector Flex分离出的干细胞集落转移至新培养皿后的相差成像。可以观察到在新培养皿自动传代 3 天(左)和5天(右)后集落明显增大,说明转移后克隆正常生长。
图4. 用CellCelector Flex传代的胚胎干细胞集落的多能性相关标志物的免疫化学表达分析。分别采用多能性相关标记 Oct4、SSEA-1、Tra-1-60 和 Nanog 对 hESC 集落进行了染色,其中多能性表面标志物 Tra-1-60 (B), 多能因子Oct4 (C)和Nanog (D) 呈阳性结果,证明CellCelector Flex自动分离保留了其多能性;分化标志物 SSEA-1 (E) 呈阴性结果,说明集落仍具有体外分化潜能。
精挑智选,标准均一
得益于高内涵成像功能和精确的分离性能,CellCelector Flex不但能够根据集落的形态特性和差异分离出特定的区域,例如集落的分化和未分化部分;而且可以从同一个集落中分离出大小形状均一的子集落,并转移到多个复制板中进行对照和质量控制。CellCelector Flex稳定的挑取性能,确保了样本质量和可重复性,避免手动分离造成的批次间差异。

创新工具,更高通量
iPSC在再生医学中具有非常重要的治疗潜力,有望用于开发细胞和组织退行性疾病的新疗法。而基因整合偏离会出现具有不同表型的单细胞,因此基因编辑后的iPSC单细胞克隆筛选至关重要。CellCelector Flex创新的基于纳米孔和图像验证的高通量单细胞克隆筛选技术(HT-NIC),简化iPSC单细胞克隆池建立流程。能够在单次筛选中同时验证单克隆性、生长率以及功能验证。